
総合診療
General Medicine
総合診療について
日々のちょっとした体調の変化から、気になる症状まで。当院では、内科・外科・皮膚科・眼科など幅広い診療科に対応する総合診療を行っています。
飼い主さまの「どこに相談すればいいか分からない」にお応えし、的確な診断と安心の治療を提供します。
内科症例
INTERNAL MEDICINE
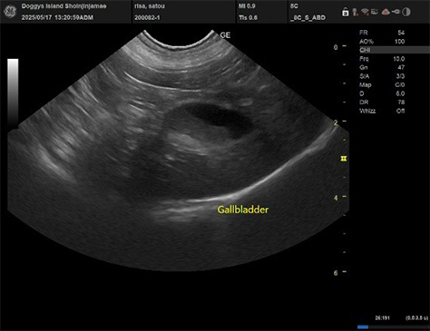
症例
胆泥形成
担当医師
患者特徴
犬、6歳9か月無症状

- 症状
- 健康診断Cコース
- 来院経緯
- 近所のため
- 診察内容
- 健康診断Cコース
- 行った処置等
- 診断結果を示しながら飼い主様と相談し治療方針を決定
大切なご家族のために。

総合診療では、動物たちの幅広い不調や異変に対応するために、複数の診療科を設けています。
内科・外科・皮膚科・眼科のほか、歯科や腫瘍科なども含めて、原因が特定できない段階でもまずご相談いただける体制を整えています。
必要に応じて、専門的な検査や治療、外部機関との連携も行いながら、適切な医療をご提供します。
飼い主さまと動物たちが、長く安心して通える“かかりつけ医”を目指しています。
獣医師シフト表
□月曜日と火曜日は完全予約制です。
■ エキゾチック診療は、関口獣医師の担当日がおすすめです。
Access
アクセス




